Ens fa especial il·lusió compartir amb tu aquest cas clínic, en què una nena amb paràlisi cerebral de grau 5 del sistema de la classificació de la funció motora gruixuda (GMFCS), ha obtingut un gran resultat utilitzant el Sistema de posicionament Spex, millorant així la seva salut i qualitat de vida.
Especialment indicat per a persones amb necessitats posturals complexes, el Sistema de posicionament Spex aporta un posicionament òptim, personalitzat i evolutiu als seus usuaris, oferint-los el màxim confort i seguretat. És compatible amb la majoria de xassís i cadires de rodes.
Radiografia lateral sense Spex
Com es pot apreciar en aquesta radiografia, aquesta nena presenta cifosi, una curvatura fisiològica de la columna vertebral a la regió dorsal, així com retroversió de maluc.

Radiografia lateral amb Spex
En utilitzar el els coixins i respatllers Spex, tant la cifosi com la retroversió s’han corregit, aconseguint un millor posicionament.

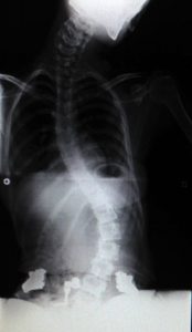
Radiografia frontal sense Spex
En realitzar una radiografia frontal es mostra l’escoliosi, que en aquest cas presenta una curvatura a la columna vertebral en forma de “S”. Això genera un plec en el costat dret de la nena, la qual cosa és un problema afegit perquè al suar es poden generar úlceres i infeccions.

Radiografia frontal amb Spex
Amb Spex s’aconsegueix alinear l’escoliosi i fer desaparèixer el plec en el costat dret.
Al nostre web trobaràs informació detallada sobre el Sistema de posicionament Spex, i pots posar-te en contacte amb el nostre Departament Comercial per a ampliar la informació o aclarir qualsevol dubte al respecte.

